Nature ハイライト
免疫:B細胞が形成されるもう1つの場所
Nature 501, 7465

Credit: Duane Wesemann
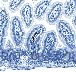
一次B細胞の発生部位は、骨髄に限られていると考えられてきた。だが、F Altたちは、B細胞発生は腸でも起こり、そこでの発生は腸内微生物によって促進されるという意外な知見を報告している。著者たちは、B細胞系列の初期細胞集団が、出生後のマウスの腸管粘膜、具体的には粘膜固有層で発生すると述べている。B細胞産生は離乳期にピークになり、無菌マウスに微生物が定着するにつれて増加する。このようなB細胞のレパートリーは、骨髄由来のB細胞とは異なっており、常在微生物によってレパートリーが形作られるらしい。
2013年9月5日号の Nature ハイライト
神経科学:細菌は厄介な痛みの種
神経科学:長い遺伝子の発現低下
病原微生物学:2つの炭疽毒素の標的は別々
量子情報科学:安全な情報ネットワークへの大きな一歩
物理学:量子ポイントコンタクトにおける「0.7異常」の解明
無機化学:簡便な窒素固定法を求めて
生物地球化学:植生の夜と昼の生産力
免疫:B細胞が形成されるもう1つの場所
細胞生物学:ゴルジ輸送複合体中の2つの輸送経路