مقالات
Commentary

خمس خطوات لتصبح أجهزة التصوير بالرنين المغناطيسي في متناول الجميع

نشرت بتاريخ 18 مايو 2023

بعد مرور خمسين عامًا على نشر الأسس التي ترتكز عليها تقنية التصوير بالرنين المغناطيسي، لا تزال أجهزة التصوير بالرنين المغناطيسي باهظة الثمن، وغير عملية في العديد من دول العالم. وفي هذا التحقيق الإخباري، نطرح سبلًا لجعلها أصغر حجمًا وأقل تكلفة.

أندرو ويب وجونز أوبونجولوتش

في عام 2014، فاتح جراح أعصاب الأطفال ستيفن شيف فريقنا البحثي بمقترح لخوض تحد صعب، ألا وهو تصميم جهاز تصوير شعاعي بالرنين المغناطيسي (MRI)، يكون قابلًا للنقل وسهل الاستخدام، بتكلفة لا تمثل سوى جزءًا بسيطًا من تكلفة الأجهزة التقليدية الحالية. فقد احتاج شيف إلى جهاز كهذا لتصوير أدمغة الأطفال في أوغندا ممن أصيبوا باستسقاء الرأس، وهو تراكم للسوائل في الدماغ.

يُعد مرض استسقاء الرأس السبب الأكثر شيوعًا لجراحات الأعصاب بين الأطفال في جميع أنحاء العالم؛ إذ يبلغ عدد حالات الإصابة به ما يقارب 200 ألف حالة سنويًا في إفريقيا جنوب الصحراء وحدها. ويعمل الجراحون في جراحات علاج هذا المرض على تحويل مجرى سريان السوائل المتراكمة في الدماغ. بيد أن هذه الجراحات كثيرًا ما تبوء بالفشل وتكون ثمة ضرورة لتصوير شعاعي لاحق على سبيل متابعة الحالة. وفي حال هذا المرض، تكون تقنيات التصوير الشعاعي والمتابعة الأخرى المتاحة غير عملية: فالموجات فوق الصوتية لا يمكنها اختراق جماجم الأطفال الذين تجاوزوا سن الثانية، والأشعة السينية تحمل معها مخاطر بإشعاعاتها، وهو ما يجعل الوسيلة الأنسب هي التصوير بالرنين المغناطيسي.

فحوص التصوير بالرنين المغناطيسي هي جزء لا غنى عنه من طب الرعاية الإكلينيكية، إذ يُجرى أكثر من 100 مليون فحص تصوير بالرنين المغناطيسي سنويًا في جميع أنحاء العالم، ويوجد نحو 50 ألف من أجهزة التصوير بالرنين المغناطيسي في المستشفيات والعيادات. غير أن هذه التقنية لا تتوفر إلا في أضيق الحدود لمن يعيشون في الدول منخفضة الدخل ومتوسطته، على الرغم من أنهم يشكلون أكثر من 70% من سكان العالم. فعلى سبيل المثال، يوجد في المتوسط 0.7 جهاز تصوير بالرنين المغناطيسي لكل مليون شخص في إفريقيا، مقارنة بـ 55 جهازًا لكل مليون شخص في اليابان، و40 جهازًا في الولايات المتحدة، و35 في ألمانيا. ويتركز وجود أغلب تلك الأجهزة في المدن الكبرى، بعيدًا عن سكان الريف.  و39% من أجهزة الرنين المغناطيسي الموجودة في إفريقيا يستخدم معدات وبرمجيات عتيقة بالية1.

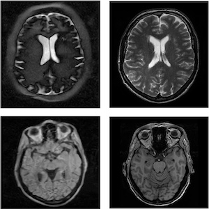
 صورة مأخوذة بجهاز تصوير بالرنين المغناطيسي منخفض المجال مقارنة بصورة مأخوذة بجهاز الرنين المغناطيسي التقليدي.
 صورة مأخوذة بجهاز تصوير بالرنين المغناطيسي منخفض المجال مقارنة بصورة مأخوذة بجهاز الرنين المغناطيسي التقليدي.
Credit: Leiden University Medical Center

وتُعد أجهزة فحوص التصوير بالرنين المغناطيسي باهظة الثمن؛ إذ تبلغ تكلفة شراء وتركيب وصيانة وتشغيل جهاز واحد عدة ملايين من الدولارات. وتتطلب تلك الأجهزة مغناطيسًا فائق التوصيل يبلغ طوله بضعة أمتار، ويزن من 5 إلى 10 أطنان، ويُبرَّد عن طريق الهيليوم السائل ويوضع في غرفة حصينة لتقليل تداخل الموجات الكهرومغناطيسية. وتحتاج أجهزة التصوير بالرنين المغناطيسي إلى مصدر طاقة قوي وماء مبرد لتبريد المكونات الأخرى. كذلك من الضروري توفر فنيين على درجة عالية من التدريب. وتكلف ترقية معدات وبرمجيات تلك الأجهزة من عشرات إلى مئات الآلاف من الدولارات سنويًا. وكل ما سبق ليس في متناول قطاعات البحث والتعليم والرعاية الصحية في البلدان منخفضة الدخل ومتوسطته.

إن ما تحتاجه هذه الدول كبديل عن تلك الأجهزة هو أجهزة تصوير بالرنين المغناطيسي معاد تصميمها بالكامل بحيث يمكن تركيبها وتشغيلها بسهولة في المناطق الريفية والمرافق الصحية الثانوية. ويجب أن تتسم تلك الأجهزة بالموثوقية في منظور الأطباء المحليين ليستخدموها في تشخيص وعلاج الأمراض الشائعة المهددة للحياة. ومنذ المحادثة الأولى لنا مع شيف (الذي يعمل في كلية الطب بجامعة ييل في نيو هايفن بولاية كونيتيكت)، تعاون فريقانا البحثيان من المركز الطبي بجامعة لايدن في هولندا وجامعة مبارارا للعلوم والتكنولوجيا في أوغندا مع باحثين من باراجواي وإسبانيا والولايات المتحدة وألمانيا بهدف تطوير وتحسين أجهزة تصوير بالرنين المغناطيسي تكون ذات أسعار معقولة في البلدان ذات الدخل المتوسط والمنخفض.

وفي هذا المقال، نستعرض التقدم الذي أحرزناه ونسلط الضوء على خمسة تحديات رئيسية ينبغي التركيز عليها في الأبحاث اللاحقة. ونركز هنا على قارة إفريقيا السمراء، وهي المنطقة التي تتركز فيها أغلب خبراتنا، ولكن من الجدير بالذكر أن أمريكا الجنوبية وجنوب آسيا تواجهان وضعًا مشابهًا.

تحسين تقنيات المجال المنخفض

تحل هذا الأسبوع الذكرى الخمسون لنشر المبدأ الذي ترتكز عليه تقنية التصوير بالرنين المغناطيسي في دورية Nature في رسالة الباحث بول لوتربر2، وهو عالم كيمياء من الولايات المتحدة فاز بجائزة نوبل في الفسيولوجيا أو الطب عام 2003 بالاشتراك مع بيتر مانسفيلد، الفيزيائي البريطاني، عن أبحاثهما في هذه التقنية. وتستخدم أجهزة التصوير بالرنين المغناطيسي التقليدية مغانط قوية فائقة التوصيل لاستقطاب نوى الهيدروجين الموجودة في الأنسجة. وتتفاعل نبضات موجات الراديو مع النوى المُستقطبة مولدة جهدًا كهربيًا في أجهزة الكشف الموضوعة حول المريض، وتقوم الخوارزميات بتحويل هذه الإشارات إلى صور يمكن للأطباء من خلالها التمييز بين الأنسجة اعتمادًا على خصائص مثل محتوى الماء أو البروتين والصلابة.

إن تصميم جهاز صغير ومحمول للتصوير بالرنين المغناطيسي لا يمكن أن يتحقق ببساطة عن طريق تقليص حجم التصميمات الحالية أو استبدال المكونات ببدائل أرخص، لكن يمكن تحسين أداء الأجهزة الصغيرة بحيث يمكنها متابعة تطوُر حالات معينة مثل استسقاء الرأس.

فبادئ ذي بدء، يمكن استبدال المغناطيس فائق التوصيل والاستعاضة عنه بمغناطيس دائم صغير، عادةً ما يكون مصنوعًا من سبائك النيوديميوم والحديد والبورون أو السماريوم والكوبالت. وتنتج هذه المغانط مجالًا أضعف بكثير (يتراوح من 0.05 إلى 0.1 تسلا) مقارنة بالأجهزة التقليدية (التي تتراوح قوة مجالها المغناطيسي من 1.5 أو 3 تسلا)، كما تنتج إشارة أقل بمئات إلى آلاف المرات.

ولا بد من إعادة تصميم المكونات الكهربائية بأجهزة التصوير بالرنين المغناطيسي لتعمل بطاقة أقل ودون أسلاك التيار الكهربائي أو البطاريات. ولا بد كذلك أن تكون خوارزميات معالجة الصور وأجهزة المعالجة قادرة على احتساب التشويش الخارجي، بحيث لا تكون هناك حاجة إلى غرفة حماية حصينة، وأن تكون برامج التشغيل سهلة الاستخدام ولا تحتاج سوى لقدر أدنى من التدريب.

وتجدر الإشارة إلى أنه على مدار السنوات العشر الماضية، طورت مجموعات بحثية عديدة نوعين من أجهزة التصوير بالرنين المغناطيسي منخفض المجال. وقد استطعنا تصميم نموذج يتكون من آلاف المغانط الصغيرة (التي يبلغ عرضها بضع سنتيمترات أو أقل)، والتي وُلفت لتحسين قوة المجال المغناطيسي وثباته وانتظامه حول المريض. ويُعد الجهاز — الذي يبلغ طول ماسورته 50 سنتيمترًا تقريبًا وقطرها 50 سنتيمترًا، ويحتوي على تجويف داخلي مفتوح يبلغ عرضه 31 سنتيمترًا — خفيفًا نسبيًا (يبلغ وزنه نحو 75 كيلوجرامًا) ويمكن تجميعه من وحدات منفصلة دون الحاجة إلى أدوات أو معدات متخصصة3. ويمكن وضع الجهاز على رأس فراش مستشفى بحيث ينزلق المريض إلى داخله، كما يمكن نقل الجهاز في أنحاء المستشفى مثلًا على عربة ذات عجلات، وتحميله في سيارة، وتشغيله باستخدام برنامج مفتوح المصدر.

أما التصميم الثاني، فهو أبسط ويتكون من قرصين بسمك بضعة سنتيمترات وقطر يتراوح بين 60 سنتيمترًا و95 سنتيمترًا. والقرصان مصنوعان من مادة مغناطيسية وموصلان بوصلة أو اثنتين من الحديد، ويوضعان أعلى وأسفل رأس المريض4. غير أن تجميع هذا الجهاز يتطلب معدات متخصصة، ويزن عدة مئات من الكيلوجرامات ولا يمكن نقله إلا في عربة مزودة بمحرك.

وقد روجت شركة «هايبرفاين» Hyperfine الأمريكية في جيلفورد بولاية كونيتيكت لهذا التصميم الأخير على نطاق تجاري، وهو يُستخدم اليوم إلى جانب الأجهزة التقليدية في وحدات العناية المركزة وأقسام الطوارئ في الولايات المتحدة بصورة رئيسية. كما اختُبِر أداؤه على أشخاص يعانون نزيفًا دماغيًا، وسكتات دماغية، ومرض التصلب المتعدد، وإصابات في الدماغ5. وتخطط مؤسسة بيل وميليندا جيتس لإيداع أكثر من 45 جهازًا من هذا النوع في بعض الدول ذات الدخل المتوسط أو المنخفض لمساعدة الباحثين على دراسة صحة الأم والرضيع، وحالات سوء التغذية، والأمراض التي تؤثر على نمو دماغ الرضع والتصدي لتأثيرات هذه الجوانب الصحية. وقد تأسست منصات بحثية مماثلة في الصين وهونج كونج.

ويستطيع كلا الجهازين حاليًا تصوير الدماغ بوضوح لكل ملليمترين تقريبًا في 10 دقائق. وبالمقارنة، فإن جهاز التصوير بالرنين المغناطيسي التقليدي يمكنه تحليل بنى يقل حجمها عن ملليمتر واحد في بضع دقائق قليلة. وعلى الرغم من أن أداء الأجهزة منخفضة المجال يفي بالغرض في الحالات الواضحة مثل استسقاء الرأس، فمن الممكن تحسينه. وينبغي للباحثين تصميم أجهزة كشف أكثر دقة، وتعزيز تباين الصور، واستخدام أساليب متقدمة لبناء الصور، باستخدام الذكاء الاصطناعي، على سبيل المثال. كذلك ينبغي لهم الحرص على عمل الأجهزة على نحو موثوق بحيث تعطي نتائج راسخة ومحكمة، في الظروف البيئية الصعبة المرجح مواجهتها، في البيئات الريفية في الدول ذات الدخل المتوسط أو المنخفض، على سبيل المثال.

بناء ثقة الأطباء في التقنية الجديدة

التصوير بالرنين المغناطيسي التقليدي ينهض به ممارسون متخصصون، وعادة ما يضطلع به أخصائيِّ الأشعة الذين يكونون على معرفة جيدة بجميع الفروق الدقيقة في صور الفحوص الشعاعية. ولكي يسنح الإقبال على تبني تقنية التصوير بالرنين المغناطيسي منخفض المجال في البلدان ذات الدخل المتوسط أو المنخفض، من الضروري للغاية أن ينظر الأطباء لها على أنها "تقنية ذكية" وليس على أنها "تقنية منخفضة المستوى"، أو مجرد بديل رخيص التكلفة للتقنية المستخدمة في البلدان ذات الدخل المرتفع.

ويتطلب بناء هذه الثقة من الأطباء الإكلينيكيين والعلماء تبادل معارفهم عما تحتويه الصور “الأقل وضوحًا” التي تنتجها تقنية التصوير بالرنين المغناطيسي منخفض المجال. فالمعارف المتاحة حاليًا بشأن كيفية استخدام هذه الأجهزة إكلينيكيًا ضئيلة، والبيانات المتاحة حول ذلك قليلة. ويجب على علماء التصوير بالرنين المغناطيسي التأكد من أن جودة الصور المنتجة بواسطة تقنية التصوير بالرنين المغناطيسي منخفض المجال محكمة وراسخة، وأنه من السهل التعرف على أي عناصر غير إكلينيكية، تمامًا كما هو الحال مع الأجهزة التقليدية. كذلك يجب تصميم واجهات مستخدم بسيطة وتحسينها من خلال التعاون مع الأطباء والفنيين في الدول ذات الدخل المتوسط أو المنخفض.

ويجب وضع برامج تدريب للأطباء، تتضمن مقارنة صور تقنية التصوير المغناطيسي منخفض المجال بالتصوير المغناطيسي التقليدي مرتفع المجال وأنواع التصوير الشعاعي الأخرى. ويجب الحصول على هذه الصور من التقنيتين في كل من الدول مرتفعة الدخل والدول ذات الدخل المتوسط أو المنخفض. فيجب ذلك في الدول مرتفعة الدخل، بسبب توفر أجهزة التصوير بالرنين المغناطيسي بشكل أكبر، وفي الدول ذات الدخل المتوسط أو المنخفض من أجل ضمان الارتباط بالقضايا الصحية المحلية. وينبغي على العاملين في مجال التصوير بالرنين المغناطيسي طرح قضيتهم وإثبات أن صور تقنية التصوير بالرنين المغناطيسي منخفض المجال مفيدة إكلينيكيًا بالفعل.

منح الأولوية للمنهجيات مفتوحة المصدر

تستخدم أجهزة التصوير بالرنين المغناطيسي برمجيات ومعدات متخصصة؛ وهذا يحد من قدرة الفيزيائيين والمهندسين العاملين في المجال الطبي على فهم وإصلاح هذه الأجهزة. ولا تتوفر هذه الخبرة محليًا في العديد من الأماكن. فتقدر منظمة الصحة العالمية (WHO) أن 70% من المعدات الطبية الممنوحة للدول ذات الدخل المتوسط أو المنخفض لا يمكن استخدامها بسبب عدم كفاية تدريب أطقم استخدام هذه المعدات.

ويحتاج العلماء والأطباء الإكلينيكيون والتقنيون الطبيون في الدول ذات الدخل المتوسط أو المنخفض إلى تمكينهم من تصميم وصيانة وتصنيع أجهزة التصوير بالرنين المغناطيسي منخفضة التكلفة محليًا6. ولتحقيق ذلك، فإنهم يحتاجون إلى أن يتاح لهم ما يلزم من معدات وبرامج مفتوحة المصدر، سيرًا على خارطة طريق التعاون الرقمي التي أصدرتها الأمم المتحدة لعام 2020، والتي تؤكد على الحاجة إلى استيعاب شتى الأطياف في هذا التعاوُن، وعلى ضرورة بناء نظم للتعاون الرقمي.

على سبيل المثال، صممنا العام الماضي "طقم أدوات" لفحوص التصوير بالرنين المغناطيسي منخفض المجال بالاعتماد على أجهزة وبرمجيات مفتوحة المصدر، وقمنا بشحنها من لايدن إلى كلية الهندسة التي نتبعها في مبارارا. وهناك، استخدم عدد من طلاب هندسة الطب الحيوي من ستة بلدان في إفريقيا جنوب الصحراء طقم الأدوات سالف الذكر لإنشاء أول جهاز تصوير بالرنين المغناطيسي يكون محمولًا ومواءمًا ومصنعًا محليا في إفريقيا، وهو يُستخدم اليوم في تدريب الطلاب.

ويسلط هذا المشروع الضوء على أهمية التمويلات، سواء أكان مصدرها وكالات أو مؤسسات حكومية أو تجارية، لتشجيع التكنولوجيا مفتوحة المصدر. وقد بدأ ظهور تراخيص تسمح بنشر التقنيات على نطاق واسع مع الحفاظ على حقوق المطورين، وكذلك تراخيص فرعية لا تنطبق عليها حقوق الملكية، تشترط بيع نسبة معينة من الأجهزة بسعر التكلفة للدول ذات الدخل المتوسط أو المنخفض. وتسمح مثل هذه الاتفاقيات، على سبيل المثال، لبعض شركات الأدوية بنشر تقنيات إنتاج لقاحات «كوفيد-19» في إفريقيا.

فما الذي يمكن للباحثين فعله في هذا السياق؟ يمكنهم إتاحة البيانات والأكواد البرمجية اللازمة لهذه التقنية في مستودعات بيانات — مثل «جيت هاب» GitHub — والتأكد من أن الأكواد البرمجية مكتوبة بلغات مفتوحة المصدر. كذلك يمكنهم توثيق المنهجيات التي يستخدمونها وتطويرهم للمعدات على مواقع ويب متاحة مجانًا (مثل opensourceimaging.org). ويمكنهم المساعدة في خلق ثقافة أكاديمية موائمة، تولي قيمة كبيرة للأبحاث التي تتسم بالشفافية وتعطي نتائج راسخة محكمة.

تطوير أدوات ذكاء اصطناعي للمناطق ذات الدخل المتوسط أو المنخفض

يمكن أن يؤدي استخدام الذكاء الاصطناعي في الكشف عن مواطن الخلل الطفيف في التصوير الطبي إلى تحسين النتائج وتوفير التكاليف في الدول التي يصعب توفير التدريب على التقنية بها. وقد يفيد الذكاء الاصطناعي أيضًا في "تبديل المهام"، بحيث يتولى الممرضون والفنيون الطبيون أدوارًا يضطلع بها الأطباء الإكلينيكيون عادة. إلا أن أغلب تطبيقات الذكاء الاصطناعي المتاحة حاليًا — التجارية منها والبحثية — مصممة لتوائم الظروف في الدول ذات الدخل المرتفع.

كذلك يجب تعديل خوارزميات الذكاء الاصطناعي الفعالة التي تستخدمها أجهزة التصوير بالرنين المغناطيسي منخفض المجال في الدول ذات الدخل المتوسط أو المنخفض بحيث تلائم معدات محددة ويجب تدريبها على الصور المحلية. فقد لا تكون البيانات الواردة من الدول مرتفعة الدخل ذات صلة بالسكان في البلدان ذات الدخل المتوسط أو المنخفض، ويرجع ذلك إلى اختلاف أطياف الأمراض، والجينات، والاختلافات البيئية من منطقة إلى أخرى7. كما يجب مراعاة قوانين خصوصية البيانات المحلية، لأنها تختلف من بلد إلى بلد8. والصور المأخوذة من أنواع أخرى من التصوير (مثل التصوير المقطعي المحوسب)، والتي تكون مستخدمة على نطاق واسع في الدول منخفضة ومتوسطة الدخل، يمكن دمجها في بيانات التدريب. وفي نهاية المطاف، يمكن أن تكون أجهزة التصوير بالرنين المغناطيسي منخفض المجال نفسها مفيدة في زيادة حجم وتنوع مجموعات بيانات تدريب الذكاء الاصطناعي، لأنه يمكن نقل هذه الأجهزة إلى منازل المرضى9.

زيادة التمويل من أجل استدامة التصوير بالرنين المغناطيسي

إجمالًا، وجدنا صعوبة في تأمين التمويل اللازم لجهاز التصوير بالرنين المغناطيسي الصغير الذي عملنا على ابتكاره. إذ تعطي الحكومات في الولايات المتحدة وأوروبا الأولوية لتمويلات الأجهزة المتطورة التي تفيد المقيمين فيها بصورة مباشرة. ويُنظر إلى الأبحاث التي تحاول تبسيط الأجهزة والمعدات — لا سيما لاستخدامها في الدول ذات الدخل المتوسط أو المنخفض — على أنها أقل أهمية. أما المؤسسات الخيرية فهي أكثر تقبلًا لهذه المبادرات، ولكن لها أولوياتها الخاصة وقد يتعذر الوصول إليها إذا لم تتوفر جهات تقود إليها. وفي حالتنا، أمكننا استخدام مبلغ صغير من تمويل أولي جاء من مجلس الأبحاث الهولندي (NWO) كخطوة أولى نحو الحصول على مزيد من المنح من الاتحاد الأوروبي ومعاهد الصحة الوطنية الأمريكية.

وقد ينجم نقص التمويلات ذاك عن نقص الوعي بالاحتياجات الطبية في الدول ذات الدخل المتوسط أو المنخفض. فنجد أن نسبة الحاضرين في المؤتمرات الكبرى لأبحاث التصوير بالرنين المغناطيسي ومؤتمرات أخصائيِّ الأشعة من مؤسسات الدول ذات الدخل المتوسط أو المنخفض أقل من 1%.1 وبالمثل، فإن المنشورات البحثية عن التصوير بالرنين المغناطيسي من هذه الدول تشكل أقل من 1% من الإجمالي العالمي، والغالبية من هذه النسبة هي نتاج تعاون مع علماء من الدول المرتفعة الدخل1. ومن المعروف أن ثمة هجرة موثقة للعقول البحثية من الدول ذات الدخل المتوسط أو المنخفض10. وفي الوقت نفسه، يُعد تطوير التصوير بالرنين المغناطيسي منخفض المجال إلى أداة إكلينيكية تحديًا يضاهي أصعب التحديات في مجال التصوير الشعاعي الطبي اليوم.

ففي الدول مرتفعة الدخل، تدخل في أبحاث التصوير الطبي شبكات من الشركات والمختبرات التي تمولها الحكومات وبرامج البحوث والتعليم الجامعية. ويتدفق الأفراد والأفكار بين هذه الكيانات، ما يفتح الباب أمام تعاون مستمر طويل المدى بينها. وفي الدول ذات الدخل المتوسط أو المنخفض، يلزم كذلك إنشاء شبكات مماثلة، مع تركيز الاهتمام على الباحثين الذين لا يزالون في بداية مشوارهم البحثي لدفع هذه التقنيات إلى الأمام.

وثمة بوادر مشجعة تنبئ بتغيير. ففي عام 2019، شكلت الجمعية الأوروبية للرنين المغناطيسي في الطب والبيولوجيا شبكة تحمل اسم: «ائتلاف تطوير تعليم وأبحاث التصوير بالرنين المغناطيسي في إفريقيا» (المعروف اختصارًا CAMERA). (زر موقع: cameramriafrica.org). وينظم هذا الائتلاف — الذي يضم أكثر من 54 متطوعًا أكاديميًا، و114 أخصائي أشعة مقيم، و54 متدربًا في الفيزياء الطبية في 18 دولة إفريقية — فعاليات محلية ويدعم طلبات التمويل التي يتقدم بها الباحثون. وفي عام 2022، أجرى الائتلاف تقييمًا لاستخدام تقنية التصوير بالرنين المغناطيسي في أنحاء إفريقيا جنوب الصحراء الكبرى، مع التركيز على الثغرات في التدريب والصيانة والقدرة البحثية1. وقد بدأت جمعيات أكبر في محاكاة هذه الجهود، ومن بينها الجمعية الدولية للرنين المغناطيسي في الطب (التي تعرف اختصارًا باسم ISMRM) والعديد من جمعيات الأشعة الأوروبية والأمريكية.

ولضمان مشاركة علماء الدول ذات الدخل المنخفض أو المتوسط، ندعو إلى إزالة العقبات المالية التي تقف في طريق عضوية تلك الجمعيات وحضور مؤتمراتها. فتدابير إيقاف اتساع الفجوة — مثل إتاحة المشاركة عبر الإنترنت فقط، وعضويات الانتساب — ليست كافية، لأنها تفتقر إلى المزايا المقدمة لأصحاب العضوية الكاملة، مثل التواصل، وبناء الوعي المجتمعي، والحق في التصويت. ويجب على الهيئات الكبرى ترتيب مؤتمراتها السنوية في الدول منخفضة ومتوسطة الدخل على نحو منتظم.

وكما أظهر تحدي شيف للباحثين، فإن تحسين الصحة العالمية يتطلب أكثر من نهج مجتزأ. ويمكن للمفاهيم الإبداعية من الباحثين والأطباء أن تجعل التصوير بالرنين المغناطيسي في متناول الجميع.

أندرو ويب: أستاذ علم الأشعة والمدير المؤسس لـ«مركز سي. جيه. جورتر للتصوير بالرنين المغناطيسي»، قسم الأشعة، المركز الطبي لجامعة لايدن، لايدن، هولندا.

جونز أوبونجولوتش: محاضر أول في قسم هندسة الطب الحيوي بجامعة مبارارا للعلوم والتكنولوجيا، مبارارا، أوغندا.

البريد الإلكتروني: a.webb@lumc.nl

 

doi:10.1038/nmiddleeast.2024.64


1. Anazodo, U. C. et al. NMR Biomed. 36, e4846 (2022).

2. Lauterbur, P. C. Nature 242, 190–191 (1973).

3. O’Reilly, T. & Webb, A. G. Magn. Reson. Med. 87, 884–895 (2022).

4. Liu, Y. et al. Nature Commun. 12, 7238 (2021).

5. Prabhat, A. M. et al. Front. Neurol. 12, 760321 (2021).

6. World Health Organization. Local Production and Technology Transfer to Increase Access to Medical Devices (WHO, 2012).

7. Pereira, L., Mutesa, L., Tindana, P. & Ramsay, M. Nature Rev. Genet. 22, 284–306 (2021).

8. Shen, F. X. et al. Neuroimage 238, 118210 (2021).

9. Deoni, S. C. L. et al. Brain Struct. Funct. 228, 493–509 (2023).

10. El Saghir, N. S. et al. JCO Glob. Oncol. 6, 185–189 (2020).